Caso 2

Déjate sorprender por nuestros casos de éxito. En Clínica Dental Rivera Serrano, amamos ver sonrisas saludables. Con 15 años de experiencia, ofrecemos atención personalizada en un ambiente de pueblo, combinando vanguardia y calidez. Descubre cómo logramos sonrisas de película.

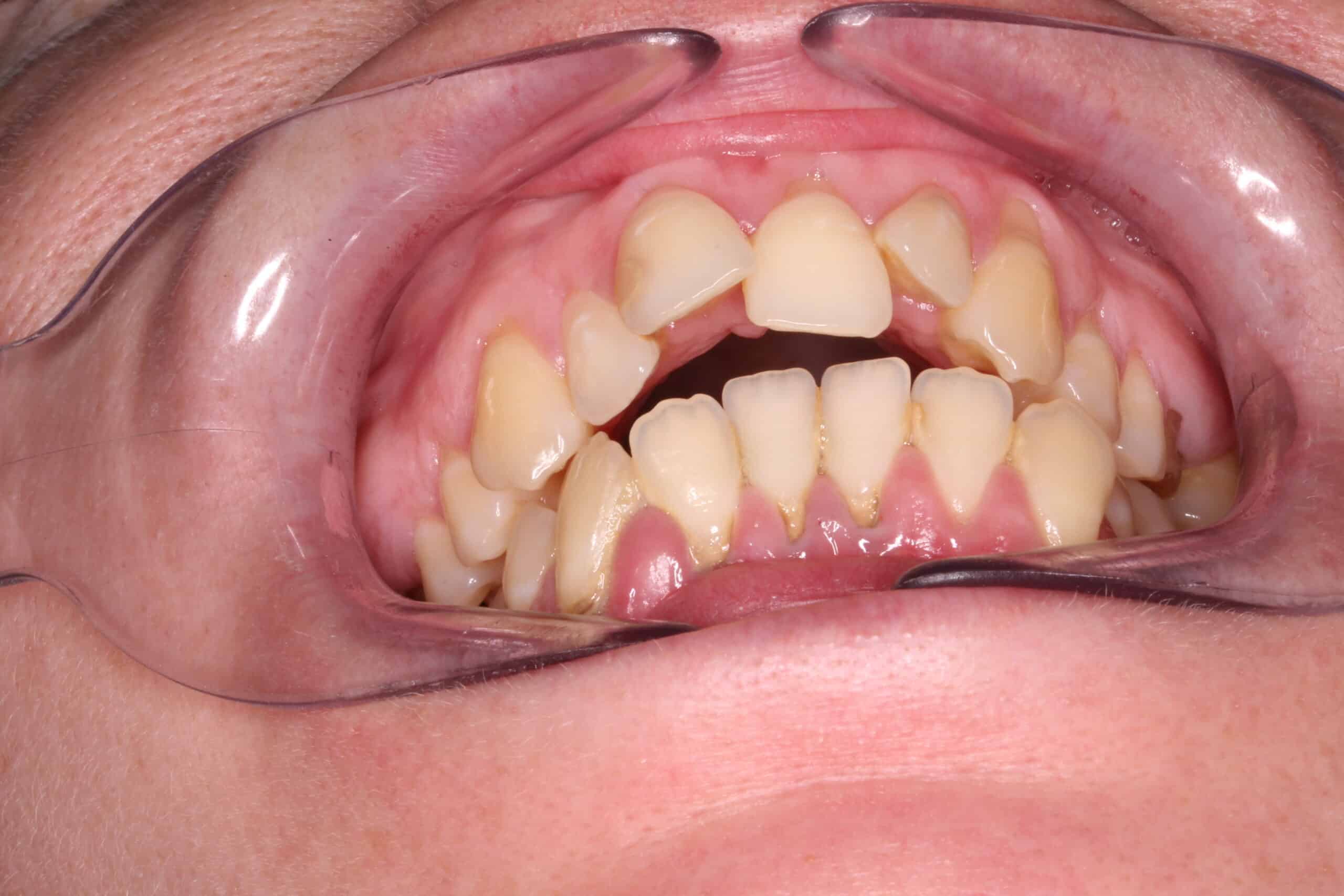
Caso clínico

En la Clínica Dental Rivera Serrano, hemos transformado sonrisas con un toque divertido y profesionalismo. Especialistas dedicadas y un equipo multidisciplinar en El Raal listos para cuidar de tu salud dental como nunca antes.

Sonríe en El Raal

CLINICA DENTAL RIVERA SERRANO
Resumen de privacidad

Esta web utiliza cookies para que podamos ofrecerte la mejor experiencia de usuario posible. La información de las cookies se almacena en tu navegador y realiza funciones tales como reconocerte cuando vuelves a nuestra web o ayudar a nuestro equipo a comprender qué secciones de la web encuentras más interesantes y útiles.